Signs Of Bone Cancer In Pelvis - Pelvic Bone Cancer Bone Cancer Symptoms Youtube - One of the earliest signs of bone cancer is pain and swelling in the area where a tumour is located.
Dapatkan link
Facebook
X
Pinterest
Email
Aplikasi Lainnya
Signs Of Bone Cancer In Pelvis - Pelvic Bone Cancer Bone Cancer Symptoms Youtube - One of the earliest signs of bone cancer is pain and swelling in the area where a tumour is located.. General information about transitional cell cancer of the renal pelvis and ureter. Most people with cancer contract a fever at some point. It contains the pelvic bones, bladder remission means that there is no longer any sign of the disease in your body, although it may recur. In most primary bone sarcomas, there are 5 stages: Primary bone cancer develops in the bones.
Made worse by movement), fracture. Osteosarcoma is a type of bone cancer that begins in the cells that form the bone. In pelvic bone cancer, when the size of the tumor increases it puts enormous amounts of pressure upon the bones. There are no warning signs of early prostate cancer. Stage 0 (zero) and stages i through iv (1 through 4).
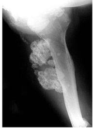
Bone And Soft Tissue Tumors Of Hip And Pelvis European Journal Of Radiology from els-jbs-prod-cdn.jbs.elsevierhealth.com One of the earliest signs of bone cancer is pain and swelling in the area where a tumour is located. Childhood osteosarcoma usually starts in areas where bone grows quickly such as the ends of long bones of the legs and arms. When these cancers in the bone are looked at under a microscope, they look like the tissue they came from. 375 236 просмотров 375 тыс. Bone cancer signs and symptoms. With osteosarcoma, cancerous cells produce bone, generally in the bones of the arm or leg. However, osteosarcoma can develop in any bone, including the bones of the pelvis (hips), shoulder, and jaw. Bowel preparation cleansing early warning signs of cancer signs that indicate that there may be a malignant growth in the body.
Around 550 new cases are diagnosed each year in the uk.
Women with ovarian cancer can experience back pain when fluid accumulates in the pelvis or when the tumor spreads in the abdomen or pelvis, directly irritating tissue in the lower back, says marleen. The macmillan cancer support website has more information about secondary bone cancer. Made worse by movement), fracture. Usually, the pain may come and go, and over days, it will. However, osteosarcoma can develop in any bone, including the bones of the pelvis (hips), shoulder, and jaw. Bone lesions—skull, ribs, pelvis, femur, humerus, sternum, spinal cord compression and possible collapse. There are two types of bone cancer: Primary bone cancer is a rare type of cancer that begins in the bones. Your pelvic area is the lower portion of the trunk of your body. Primary bone cancer develops in the bones. Bowel obstruction when there is a blockage in the bowel. However, it might also develop in supporting soft tissue, such as. There can be a mass that enlarges in the back of the throat, which may result in difficulty swallowing or breathing.
Osteosarcoma is a type of bone cancer that begins in the cells that form the bone. In the beginning, it is hard to recognize bone cancer. Early signs of prostate cancer. Pain is the most common sign of bone cancer, and may become more noticeable as the tumor grows. Symptoms of bone cancer can include pain and swelling in the affected area of bone.
Osteosarcoma Physiopedia from www.physio-pedia.com When these cancers in the bone are looked at under a microscope, they look like the tissue they came from. Certain types emerge most often in the long bones of the arms and legs, while others occur most often in the pelvis, legs, ribs, and spine. However, the symptoms will start showing from an early age before a final diagnosis is made. Bone cancer occurring in the pelvis may cause lower back pain and sciatica. Bone cancer signs and symptoms. When to see your doctor about prostate cancer symptoms. How is bone cancer diagnosed? It can grow in any of the bones in the body.
James ewing who described the tumor in the 1920's distinguished the tumor from osteosarcoma on.
In bone cancer, bone or cartilage cells sometimes change and no longer grow or behave normally. Stage 0 (zero) and stages i through iv (1 through 4). The bones become fragile due to the formation of a malignant cancerous tumor with the bones or soft tissues near them. The signs and symptoms of bone cancer in children vary from bone to bone. Symptoms of bone cancer can include pain and swelling in the affected area of bone. The most common signs of pelvic bone. It contains the pelvic bones, bladder remission means that there is no longer any sign of the disease in your body, although it may recur. When cells grow too quickly or mutated cells crowd out normal cells, it can result in cancer. Childhood osteosarcoma usually starts in areas where bone grows quickly such as the ends of long bones of the legs and arms. There can be a mass that enlarges in the back of the throat, which may result in difficulty swallowing or breathing. Early signs of prostate cancer. Made worse by movement), fracture. Renal pelvis and ureter cancers affect men more often than women.
Bone pain, tenderness (especially back, ribs; When cells grow too quickly or mutated cells crowd out normal cells, it can result in cancer. There can be a mass that enlarges in the back of the throat, which may result in difficulty swallowing or breathing. Around 550 new cases are diagnosed each year in the uk. Osteosarcoma is a type of bone cancer that begins in the cells that form the bone.
Bone Tumor Types Symptoms Treatment Survival Period from www.epainassist.com The bones become fragile due to the formation of a malignant cancerous tumor with the bones or soft tissues near them. Bone pain can cause a dull or deep ache in a bone or bone region (e.g., back, pelvis, legs fractures: Although fever is rarely an early sign of bone cancer, it is a sign that the body is fighting an infection or illness. Pain is the most common sign of bone cancer, and may become more noticeable as the tumor grows. Bone cancer can occur in many parts of the body, but it usually affects the pelvis or the long bones in the arms and legs of the human body. Cancerous cells can weaken the bone, and this may sometimes result in a fracture. The most common signs of pelvic bone. The signs and symptoms of bone cancer in children vary from bone to bone.
There are two types of bone cancer:
Signs of visceroptosis) the tumor should be suspected. General information about transitional cell cancer of the renal pelvis and ureter. Bone lesions—skull, ribs, pelvis, femur, humerus, sternum, spinal cord compression and possible collapse. Bone cancer signs and symptoms. When to see your doctor about prostate cancer symptoms. There are no warning signs of early prostate cancer. Ewing sarcoma of the bone develops in the axial skeleton, which includes the pelvis, ribs, spine and skull. Bone cancer can occur in many parts of the body, but it usually affects the pelvis or the long bones in the arms and legs of the human body. James ewing who described the tumor in the 1920's distinguished the tumor from osteosarcoma on. Cancer of the renal pelvis or ureter is cancer that forms in the kidney's pelvis or the tube (ureter) that carries urine from the kidney to the bladder. With osteosarcoma, cancerous cells produce bone, generally in the bones of the arm or leg. This spread of cancer is called a metastasis and can form a secondary cancer in another organ. Bone pain, tenderness (especially back, ribs;
Wali kota surabaya eri cahyadi di surabaya, minggu, mengatakan, pihaknya menerbitkan surat edaran (se) bernomor 443/6912/436.8.4/2021 . Wali kota surabaya eri cahyadi (alfian rizal/jawa pos). Surat edaran tertanggal 04 november 2021 itu di tandatangani langsung oleh wali kota surabaya eri cahyadi, sebagaimana zonasurabayaraya . Surat edaran (se) wali kota surabaya bernomor 443/5741/436.8.4/2021. Wali kota surabaya keluarkan surat edaran perayaan idul adha di tengah ppkm darurat. 15+ Contoh Surat Resmi / Cara Membuat / Undangan / Pemerintah from i0.wp.com Wali kota surabaya keluarkan surat edaran perayaan idul adha di tengah ppkm darurat. Surat edaran tertanggal 04 november 2021 itu di tandatangani langsung oleh wali kota surabaya eri cahyadi, sebagaimana zonasurabayaraya . Telah dilaksanakan giat himbauan surat edaran walikota surabaya ya ...
Make Up Artist Business Cards - Makeup Artist Business Card Royalty Free Vector Image : Your makeup artist business card design should justify your passion for makeup as an art. . The right minimalist style can create a statement even for makeup artist business cards. Browse more makeup artist business card vectors from istock. Salon business cards makeup artist business cards custom business cards business card logo makeup artist logo free business card templates all you need is make up hot pink. Makeup artist cosmetologist nails beauty salon business card | zazzle.com. Check out our makeup artist business cards selection for the very best in unique or custom, handmade pieces from our stationery shops. Make up artist business card design set. See more ideas about makeup artist business cards makeup artist business cards. Modern make up business card. When it comes to your business, don't wait for opportunity, create it! The right minimalist style can create a st...
Komentar
Posting Komentar